
胃癌平均發病年齡在50至70歲。臺灣是胃癌高罹患率的地區之一,目前胃癌的發生率為國人的第五位。
胃癌的成因受多重因子影響,包括遺傳、飲食、幽門螺旋桿菌和曾經接受過胃切手術都可能影響胃癌的發生。根據統計,喜歡吃醺烤的食物、肉類、醬菜、鹹魚等鹽漬物者,胃癌的發生率較高,抽菸和喝酒也容易促進胃癌的形成。
早期胃癌最常見的症狀,就是「沒有症狀」,所以極容易被忽略掉。因此諸如上腹不適、噁心、反胃、胃灼熱感、腹脹這些症狀,如果持續過久,應該要請教腸胃科醫師,作進一步檢查。千萬不要自行服用胃藥打發。
目前,最佳的診斷工具是上消化道內視鏡檢查,可作為診斷,必要時候還可以取得組織切片。在四十歲以上之中年人,縱使沒有症狀,最好每年還是能定期接受胃鏡檢查,才能達到早期診斷早期治療的目的。
目前對於胃癌的治療最基本為外科手術,也是主要可能「痊癒」之治療方式。術後再輔以化學治療、放射治療,才能獲得最佳的效果。
下面這一張是上消化到攝影中,胃癌的模樣,胃黏膜的紋路糾結在一塊兒。
下面這一張是上消化到攝影中,胃癌的模樣,胃黏膜的紋路糾結在一塊兒。
※
這一張上消化到攝影裡,可以見到胃癌使的胃末端縮成了漏斗狀。
※
在電腦斷層裡,有時能見到胃癌在胃壁上形成一處凸起。
※
較多時候,胃癌會像個火山口一般。
※
因為胃癌並無具有特異性的症狀,若沒有定期接受胃鏡檢查,發現時往往較為嚴重。可能造成胃阻塞,而嚴重嘔吐。
※
像這般胃癌堵在胃通往十二指腸的道上,患者會出現持續嘔吐的症狀。
※
當胃出口被塞住後,整個胃便會像灌氣球一般大大鼓起。一段時間後,撐飽飽的胃也就成了肚子裡最大的器官了。
※
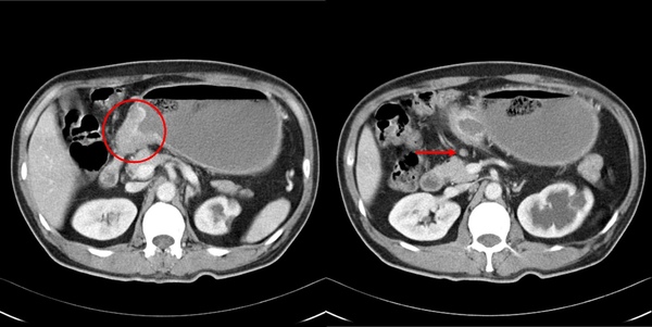
胃癌沿著淋巴結轉移相當常見,紅色箭頭處圓滾滾的淋巴結,有可能已有癌細胞轉移。
※
淋巴結轉移的狀況加劇後,電腦斷層裡便能見到胃周圍這許多不規則形狀的腫塊,都是癌細胞的轉移。
※
這張片子可以見到許多腫大的淋巴結,這些腫塊甚至已經壓迫到肝門靜脈,這是回流往肝臟的重要靜脈,造成上腸繫膜靜脈和脾靜脈的栓塞。
※
※
上頭這些圖片,讓咱們能透過影像學見到胃癌的不同面貌。但是,在診斷胃癌上,最重要且最準確的應該還是胃鏡檢查,必要時候還能作病理切片,來提供診斷。
愛護咱的酒肉朋友,定期胃鏡檢查才是最重要的一步!僅靠驗血即能測知癌症云云,萬萬不能當真!
若等到嘔吐、胃出血、解黑便、體重減輕、摸到腹部腫塊才就醫,通常癌細胞已經侵犯肌肉層、漿膜層或鄰近的器官,屬於較後期的胃癌,甚至可能出現轉移,預後相當不好。
(以上影像由放射科 蔡宏名老師提供、指導。特此銘謝!)
