2013年6月11日 星期二

看圖說故事─中風的小腸

腦子中風是大夥兒較熟悉的問題,缺血性中風可能導因於腦子血管受到阻塞,沒法供應足夠的血流,而讓細胞缺氧受損。這樣的情形在身體各處都可能發生,也會出現不同的症狀。小腸在肚子裡頭有幾公尺長,咱們卻往往會忘了它的存在。佔地如此廣泛的小腸,僅倚賴上腸系膜動脈(SMA, superior mesenteric artery)來供給血液。白話來講,就是這麼大片領土,只有一道補給線。在薄弱的備援系統下,當血管阻塞時,常常會使大量小腸壞死,而導致死亡。腸系膜動脈急性梗塞的症狀,常是突然發作的嚴重腹痛,這是小腸們缺氧發出的哀嚎。過幾個小時,小腸便會因缺血而壞死,預後相當不理想。

老話說的:無腸,無常。人生無腸可是大大大不妙。

  

上頭的圖是血管攝影(angiography),經由置放於上腸系膜動脈根部的導管注入顯影劑。從主幹到分支,由粗到細,像棵大樹一般。正常狀態下的血管攝影,常會讓人禁不住地讚嘆生物體的奇妙,是那樣的精致美好。

接下來的圖可是驚險,大凶大惡。



 ※

  

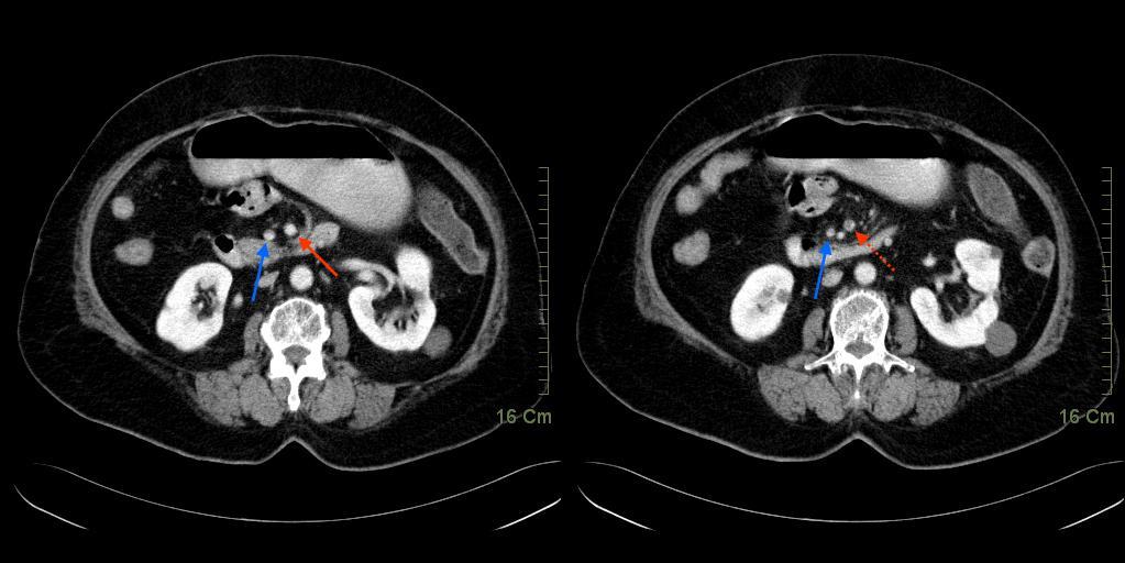
這是位老太太的腹部電腦斷層,看倌兒可以回想咱們提過的,男生女生大不同,便可分辨。

這是老太太腹痛發作不多時的片子。箭頭指出來,腹部中央兩個圓滾滾,便是上腸系膜動脈(SMA,紅箭頭)及上腸系膜靜脈(SMV,藍箭頭)。稍稍比較紅虛線和紅實線,可以清楚見到紅虛線這邊的血管裡多了個陰影,這便是塞住血管的血栓。這個血栓還惡霸霸地卡在上腸系膜動脈相當主幹的位置。

 



  

事不宜遲,放射科醫師立刻安排了血管攝影。下頭這張圖裡,黑箭頭處便是放入動脈裡的導管。注入顯影劑後,可以清楚的看到上腸系膜動脈已經嚴重阻塞(紅虛線處)。後端的小腸幾乎完全沒有顯影。這是給掐住喉嚨的小腸,命在旦夕。

因老太太尚未出現腹膜炎,小腸或許仍未壞死,可以嘗試以血栓溶解來治療。

經由動脈攝影的導管,開始滴注血栓溶解劑。

  



24小時後……

右手邊是經過治療的血管攝影,橘色箭頭處的栓塞稍有緩解,後端的小腸可見到淡淡的顯影,表示血液已能部分通過。

見著了效果,便可以繼續努力。

 



又過了24小時……

我們可以見到右手邊的上腸系膜動脈已經可以暢通順利的顯影,整棵大樹又能得到豐沛的滋養。老太太的症狀大有改善,咱們給上綠燈,算是險度難關,逃過一劫。

 





老太太能化險為夷,放射科醫師居功厥偉,不過還有些小天使在暗中推了一把。

仔細瞧瞧最初跟最後的血管攝影,可以找到一些小小的差異。粉紅箭頭處是中結腸動脈(middle colic artery),實線處的中結腸動脈鼓脹而明顯,虛線處的中結腸動脈細微微毫不起眼。

 





中結腸動脈跟末端的上腸系膜動脈有點兒交通。所以,在上腸系膜動脈 暢通的情況下,血液以綠色箭頭的方向來灌溉腸道。當上腸系膜動脈給阻塞時,動脈血液可以經由紅色箭頭的路徑倒回來供給些微的援助。這法子是救急,沒能長治久安,但或多或少可以延長小腸存活的時間,等待救援到來。

  



生物體的奧妙教人佩服,但運命總是弄人。

老太太過了一大難關,卻還是有著波折……

  




加入好友 加入劉育志的LINE@!

文章瀏覽人次: