
脆管炸彈
文/ 劉育志
在古早的年代裡,循環全身的血液尚未被認識了解,只感覺這紅通通的液體似乎與生命有著緊密的關聯。因此血液被視為神聖的,有魔力的,更是可以被用來祭祀上天。
透過實際的解剖,Leonardo da Vinci(1452~1519)描繪了縱橫全身的水道系統,和這些管路與各個臟器之間的交通。
直到1628年哈維(William Harvey)發現心臟將血液經動脈輸送,經靜脈回流心臟,而建立血液循環的理論。人類也逐漸釐清了血液在人體所扮演的角色。
現在的我們,可以透過電腦斷層影像的重組,更方便的見到這些個讓生命得以運行的通道。圖片裡呈現的便是主動脈,也正是體內重要的縱貫線。
或許,這些個專有名詞太抽象,冷冰冰的看了叫人厭煩。接下來,咱們便用白話點兒的話語來陳述。
那些古早被用來獻天祭神的血液,現今正是大冷天裡用來祭五臟廟的麻辣鴨血。而主動脈,正是火鍋裡一段段充滿嚼勁兒的“脆管”。這麼提醒,該有喚起些回憶了吧。
※
大火鍋裡的脆管,是年輕力壯的主動脈,因為要承受極大的壓力,所以富有彈性,口感極佳。但隨著年齡增長,主動脈會逐漸老化、變硬、失去彈性。這時候的主動脈便有可能變成這般九彎十八拐。
※
老化的主動脈,還可能出現主動脈剝離。這張圖裡的主動脈,可以明顯見到多出了隔間。這種以劇烈疼痛來表現的急症,有時會相當棘手。
※
因為日以繼夜承受持續不斷的血壓,老化的主動脈在失去彈性之後,便有可能像顆氣球一般,給越吹越脹。如此這般逐漸鼓脹的主動脈瘤,平時並不會有啥特別的症狀,悄無聲息的直到破裂的那一天。
主動脈瘤破裂,常是致命的猝然而至,教人驚愕地措手不及,是讓人摸不準時候,名符其實的“脆管炸彈”。
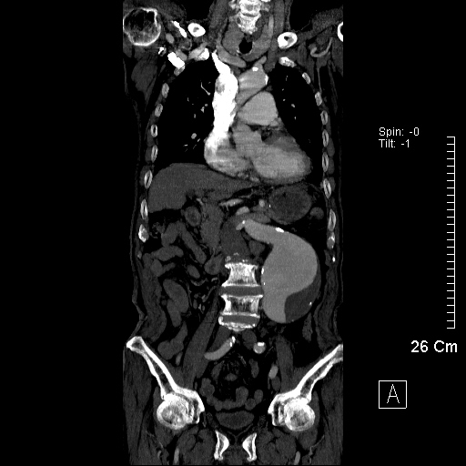
上圖黃色箭頭處,能見到鈣化的主動脈壁,已經圓滾滾的脹大。
由下方的電腦斷層,更能清楚見到,已經讓左側腹部隆起的腹主動脈瘤。
※
重組影像下,猙獰醜陋的脆管炸彈。
下面這張,是彎彎曲曲,如跳舞般扭動軀體的主動脈,渾圓的大屁股正是主動脈瘤的所在。
※
這是由不同切面及角度見到的脆管炸彈。
※
脆管炸彈的引爆,是無預警的。常常是猛烈狂暴,能在瞬息間奪走性命。紅色箭頭處,不規則延伸的部分,正是主動脈破裂之後滲漏出的大量血液。
還有機會能送到醫院,根本上就已經稱得上福大命大了。
※
處理主動脈瘤的危險及困難度,跟拆解炸彈不相上下。
手術的目標是希望能切除有問題的主動脈,並置換上人工血管。但是,為了要實現這麼短短一句話,可不知要花費多少的心力及汗水。這是心血管外科醫師偉大,了不得的成就。
※
近年來,也有人朝置放血管內支架的方向努力,期待在壞損不堪的主動脈內,放上“內胎”,來處理這樣一個問題。但“道高一尺,魔高一丈”,有了新的解決方法,自然又會出現新的問題及併發症。
※
上頭是血管攝影下見到的主動脈瘤,像搖著臃腫大屁股的虎姑婆。
在放完支架之後的血管攝影,又恢復了纖細,玲瓏有致。
看了這些個脆管炸彈,希望看倌兒們別要過度驚慌恐懼。換個角度想,如果有一天,能在睡夢中猝然而逝,該也算得上是壽終正寢的福氣呀!












