舍利:梵語sarira。即人之遺身、或碎身、或全身、髮、爪、灰,通號舍利。舍利在古老印度是遺骨的一種通稱。經過千百年口耳相傳及神話的演繹,漸漸賦予了舍利無上尊貴的神性。築塔供養,迎佛牙、奉舍利,莫不大張旗鼓,沸沸揚揚。究竟,舍利子是大智大慧的結晶,亦或是人體的結石,爭論者眾,志志自然不打算多作評斷。
蚌可以生珠,而在人身上也常可見到生物體內產生的寶石。這些個寶石能生成於膽道中、膽囊中、尿路中,甚至軟組織中。寶石的成份各異,也可能導致不同的病痛。
結石的尺寸可以小如米粒,也能大似雞蛋。因為組成份不同,密度也是差異許多。密度大者能在X光下顯影,而沒法顯像的結石,便會大大提升診斷的困難。
大多數的膽囊結石不太會在X光下顯像,診斷膽囊結石以腹部超音波有較高的敏感度。
※
這張圖裡可見到兩側腎臟有嚴重的結石。
※
這張圖裡是位在膀胱的結石,好大一顆。
※
這也是位於膀胱的結石,同時有好多顆石頭。(這張片子亦有典型的乙狀結腸扭結sigmoid volvulus)
※
這位患者同時存在膽囊結石及腎臟結石。(紅色箭頭及黃色箭頭)
※
電腦斷層下見到的膀胱結石,整顆又圓又白,這種結石的密度較高。
※
這裡見到的膽囊結石也是圓滾滾,不過因為密度的差異,使得密度高的外層較白,密度低的內層較暗。這種結石嚼起來的口感就是“皮脆心軟”!
※
結石也可能生成於肝管內,導致肝內結石,會造成肝管阻塞。
※
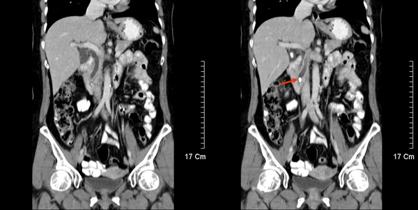
石頭出現在總膽管時,可能導致膽管阻塞,患者會出現黃疸。紅色箭頭處的結石,也是皮脆心軟,而且已經造成總膽管脹大。
※
身體裡頭會惹事的石頭,個頭不必然很大。這張圖裡,可以見到總膽管中的小個兒已然卡住了通道,可能出現黃疸,甚至胰臟炎。
※
有些時候石頭還會不安份的遊走。這位老先生幾十年的時光,養了顆又圓又大的膽囊結石,這時頭跑進了十二指腸裡頭,直到塞住腸子,才終於就醫。
※
這一顆大石頭也是進到小腸裡的膽囊結石,這種時候常會發生腸阻塞(gall stone ileus)。
※
看完這許多影像中的石頭,大夥兒一定會好奇這些寶石真實的模樣。容志志賣個關子,下回分曉!
