
男生女生大不同
文/ 劉育志
看倌兒莫怪小弟太無聊,竟然下如此標題。男生女生本來大不同,又何須育志多言嘮叨。
平常時候通常大夥兒都能一眼認出是男是女,不過從電腦斷層裡,有些兒時候只憑一個切面,沒法看到全貌,又沒法看到足以辨識的器官,例如:子宮、卵巢,究竟還有啥蛛絲馬跡讓咱們能區辨雌雄?
先來瞧過幾張片子,大夥兒可以先猜上一猜。就當是“大家來找碴”,沒有獎品,純粹趣味趣味。
-------------------------------
-------------------------------


~~~~~~~~~~~~


~~~~~~~~~~~~


~~~~~~~~~~~~


~~~~~~~~~~~~
~~~~~~~~~~~~
最起頭這兩張,在年輕人身上較為適用。箭頭指的地方是腹直肌,在年輕男性身上,肌肉通常會較為顯著。看看藍箭頭和粉紅箭頭,應該可以有明顯的差異。不過,要是遇上女力士或是白皙弱雞,那可能便會有顛倒的結果。
辨別肌肉的法子,隨著年齡增長會漸漸失了準頭,因為步入中年的男人,往往會開始鬆弛發福,精壯不在……


~~~~~~~~~~~~
步入了中年,或許健壯不在,但還是有些線索可以辨別。
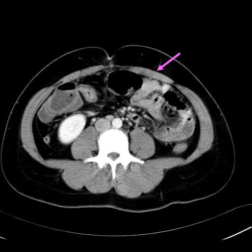
接下來這一組影像,可以好好呈現男女的差異。人都會漸漸變油,而脂肪堆積的位置會有不同。
粉紅箭頭可以發現,女生的脂肪會較大比例堆積在皮下,像是件厚厚的皮衣,在肚子裏頭的脂肪相對較少。藍色箭頭是典型的中年男性,皮下的脂肪比例較少,兒肚子裡的脂肪可是滿滿飽脹,這便是啤酒大肚的由來。


~~~~~~~~~~~~
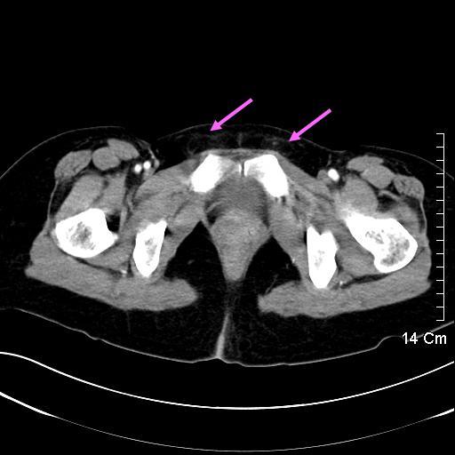
第三組影像的線索位在恥骨的兩側。藍色箭頭指出是男性的腹股溝管,裡頭有動脈、靜脈、輸精管,自然較為明顯。粉紅箭頭指的地方只有細細的圓韌帶,不甚明顯。


~~~~~~~~~~~~
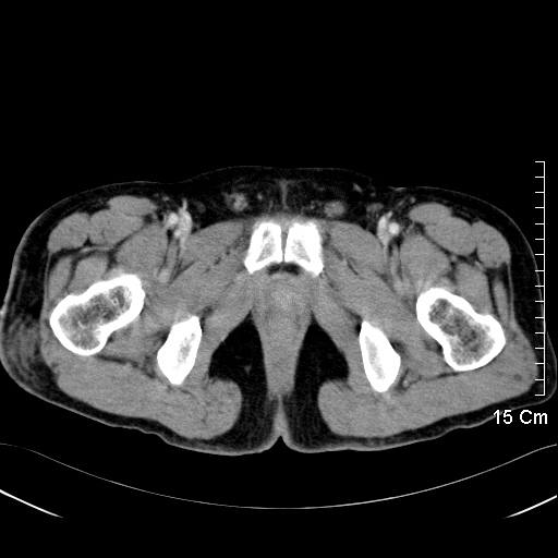
第四組影像呈現的是男生女生骨架的差異。為了懷孕生產,女生的骨盆腔會較大較圓,男生的骨盆腔顯得狹窄。古代人依屁股大小來選媳婦,便是如此道理。
也因如此,超人先生的背影會是倒三角形,魔鬼莎朗史東的身形會是玲瓏凹凸。


~~~~~~~~~~~~
接下來這一張,肯定不用多做介紹,這是魔鬼身材的原形,赫赫有名的鹽水袋。其實鹽水袋容易穿幫,因為硬挺挺像是“碗粿”,很容易被識破……

~~~~~~~~~~~~
最後這一張算是最最簡單。沒錯這便是“GG”在電腦斷層下的模樣。不過箭頭處,晶亮亮的是啥?
嘿嘿!猜對了嗎?這便是“入珠”。有人用鋼珠,有人用彈珠,也有人用玉,各有所好,品味不同,價格也是大大不同說……至於功效如何?恕小弟無能,實一無所知。
(以上影像均由放射科 蔡宏名老師提供、指導。特此銘謝!)